ANKLE SPRAIN & LIGAMENT TEAR

발목염좌/인대파열

발목 인대의 손상은 발목을 접질리는 염좌 시 발생합니다.

염좌는 흔히 '삐었다'고 표현하는 것으로, 이 중 발목염좌는

전체 스포츠 손상의 약 25%를 차지할 만큼 흔한 질환입니다.


염좌는 크게 외측, 경비 인대, 내측 염좌로 나뉘며 대부분 발이

안쪽으로 들리는 내번에 의한 외측인대 복합체

(전거비, 종비, 후 거비인대) 손상이 80% 이상입니다.

CAUSE AND SYMPTOMS

발목염좌/인대파열

원인과 증상

발목염좌/인대파열이란 발목이 심하게 비틀리거나 접질렸을 때 발목 관절을 지탱하는 인대들이 손상하여 발생하는 질환입니다. 

원인

과도한 운동
반복적인 발목 사용
발의 접질림
기계적 불안정성

증상

발목 주변의 부종
발목 주변의 통증
혈종 발생
불안정한 보행

SEOUL PERFECT ORTHOPEDICS

서울퍼펙트정형외과
인대파열/불안정증 
치료 프로그램

풍부한 임상경험의 전문의

발과 발목은 복잡한 해부학적 요소와 생리 역학적인 부분이 맞물려있는 관절입니다. 오랜 외래 진료 경험과 수 천례 이상의 수술을 통해 쌓여진 풍부한 임상경험으로 정확하게 원인을 진단합니다.

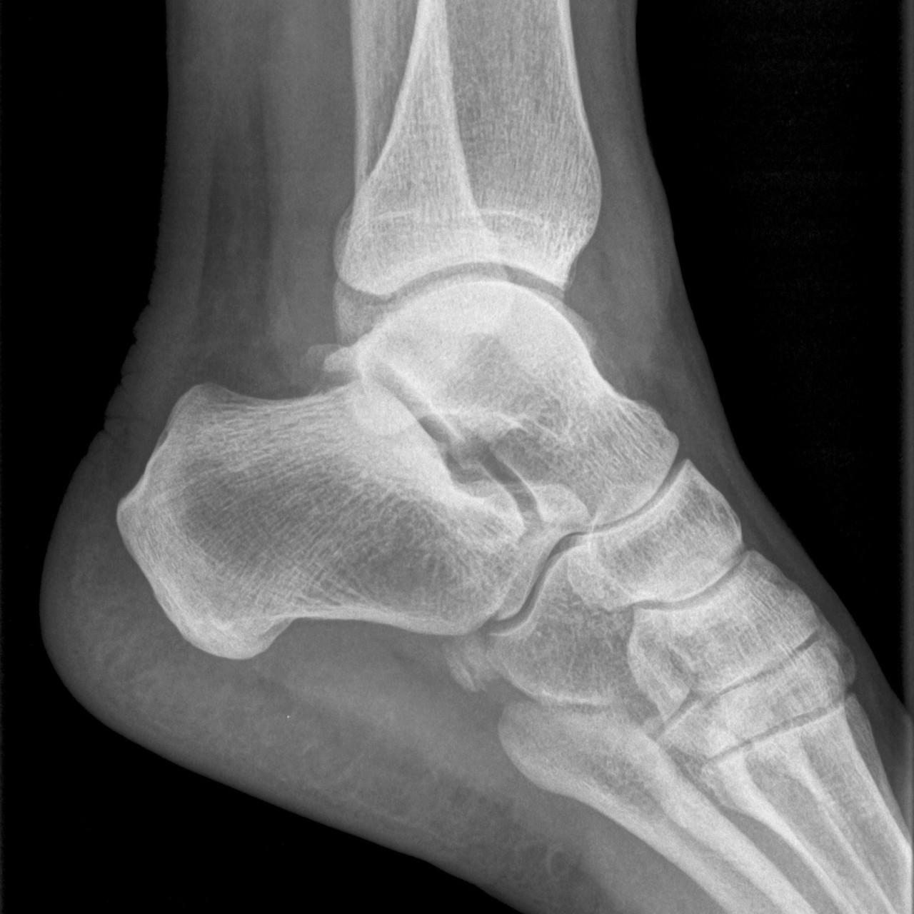
영상의학 검사

방사선 검사를 통해 해부학적 이상 소견 및 발의 정렬, 아치의 높이등을 확인하고 정밀 초음파로 인대 손상여부와 정도를 정확하게 파악하여야 올바른 치료의 방향을 결정할 수 있습니다.

맞춤형 치료

체외 충격파, 도수치료, 운동재활 치료와 같은 비침습척 치료에서부터 주사치료까지 다양한 치료가 가능하며 환자분의 인대상태, 불안정증 정도에 따라 맞춤형 치료가 가능합니다. 

SEOUL PERFECT ORTHOPEDICS

비수술적 치료, PRICE 요법

삐끗했을 땐 염좌 응급처치를 시행하여 

붓기를 빨리 빼야합니다. 


발목 인대를 다쳐 서울퍼펙트정형외과에 내원하신 환자분들 중 수술이 필요한 경우는 매우 적습니다. 


손상 부위가 부어있는 상태로 붙게 되면, 인대가 늘어나서 발목이 흔들리는 불안정증이 생기게 됩니다. 


붓기가 충분히 빠진 상태에서 인대가 붙게 되면 발목의 회복이 잘 이루어지기 때문에 붓기를 빨리 빼기 위해서 다친 직후 PRICE 요법을 시행하는 것이 좋습니다. 최소 발목 염좌 후 48시간(2일) 정도는 시행해주시면 됩니다.

   Protection
깁스 등으로 보호해야 합니다.
   Rest
활동을 줄이고 휴식을 취해야 합니다.
   Ice
환부에 얼음찜질을 해줍니다.
   Compression
압박붕대 등으로 환부를 압박합니다.
   Elevation
환부를 심장 위로 하여 부종을 줄입니다.

발목염좌, 인대파열에서 가장 중요한 치료는

고정과 붓기관리를 통한 적절한 초기 처치입니다.

이후 안정기에 들어가면

체외충격파나 인대강화 주사를 

통해서 후유증을 최소화 하는

치료를 하게 됩니다.

ANKLE SPRAIN & LIGAMENT TEAR Q&A

발목염좌/인대파열

자주 묻는 질문

ANKLE SPRAIN & LIGAMENT TEAR

발목염좌/인대파열

발목 인대의 손상은 발목을 접질리는 염좌 시 발생합니다. 염좌는 흔히 '삐었다'고 표현하는 것으로, 

이 중 발목염좌는 전체 스포츠 손상의 약 25%를 차지할 만큼 흔한 질환입니다.


염좌는 크게 외측, 경비 인대, 내측 염좌로 나뉘며 대부분 발이 안쪽으로 들리는

내번에 의한 외측인대 복합체(전거비, 종비, 후 거비인대) 손상이 80% 이상입니다.

mobile background

CAUSE AND SYMPTOMS

발목염좌/인대파열 원인과 증상

발목염좌/인대파열이란 발목이 심하게 비틀리거나 접질렸을 때

발목 관절을 지탱하는 인대들이 손상하여 발생하는 질환입니다. 

원인

증상

과도한 운동
반복적인 발목 사용
발의 접질림
기계적 불안정성
발목 주변의 부종
발목 주변의 통증
혈종 발생
불안정한 보행
mobile background

SEOUL PERFECT ORTHOPEDICS

서울퍼펙트정형외과 인대파열/불안정증 치료 프로그램

풍부한 임상경험의 전문의

발과 발목은 복잡한 해부학적 요소와 생리 역학적인 부분이 맞물려있는 관절입니다. 오랜 외래 진료 경험과 수 천례 이상의 수술을 통해 쌓여진 풍부한 임상경험으로 정확하게 원인을 진단합니다.

영상의학검사

방사선 검사를 통해 해부학적 이상 소견 및 발의 정렬, 아치의 높이등을 확인하고 정밀 초음파로 인대 손상여부와 정도를 정확하게 파악하여야 올바른 치료의 방향을 결정할 수 있습니다.

맞춤형 치료

체외 충격파, 도수치료, 운동재활 치료와 같은 비침습척 치료에서부터 주사치료까지 다양한 치료가 가능하며 환자분의 인대상태, 불안정증 정도에 따라 맞춤형 치료가 가능합니다.

mobile background

SEOUL PERFECT ORTHOPEDICS

비수술적 치료, PRICE 요법

삐끗했을 땐 염좌 응급처치를 시행하여 

붓기를 빨리 빼야합니다. 


발목 인대를 다쳐 서울퍼펙트정형외과에 내원하신 환자분들 중 

수술이 필요한 경우는 매우 적습니다. 


손상 부위가 부어있는 상태로 붙게 되면, 인대가 늘어나서 

발목이 흔들리는 불안정증이 생기게 됩니다. 


붓기가 충분히 빠진 상태에서 인대가 붙게 되면 발목의 회복이 잘 이루어지기 때문에

붓기를 빨리 빼기 위해서 다친 직후 PRICE 요법을 시행하는 것이 좋습니다.

최소 발목 염좌 후 48시간(2일) 정도는 시행해주시면 됩니다.

Protection깁스 등으로 보호해야 합니다.
Rest활동을 줄이고 휴식을 취해야 합니다.
Ice환부에 얼음찜질을 해줍니다.
Compression압박붕대 등을 이용해서 환부를 압박합니다.
Elevation환부를 심장 위로 올려서 부종을 줄입니다.
mobile background

발목염좌, 인대파열에서 가장 중요한 치료는 고정과 붓기관리를 통한 적절한 초기 처치입니다.

이후 안정기에 들어가면 체외충격파나 인대강화 주사를 통해서

후유증을 최소화 하는 치료를 하게 됩니다.

mobile background

발목이 삐끗하면 반드시 단순 염좌와 부분파열, 완전파열, 골절의 감별진단을 시행해야 합니다. 이에 따른 고정기간이 결정되고 적절한 초기치료를 시행해야 발목 불안정성이 남지 않습니다. 보통 초기 통증이 심하지 않아 부분파열을 놓치는 경우가 가장 많은데, 이때 방치하게 되면 불안정증이 남아 재파열이나 퇴행성 관절염이 진행할 수 있어 주의를 요합니다.

보통 2도이상의 인대파열이 생겼을 때 초기 회복시에는 큰 이상을 남기지 않을 수 있습니다. 하지만 불안정증이 남으면 다시 발목을 다치게 되고 재발될수록 회복율이 떨어지면서 점점 더 발목을 삐는 일이 잦아지게 됩니다. 

따라서 치료를 결정할 때 통증이 기준이 아닌, 인대가 얼마나 회복 되었는지, 발목의 안정성이 있는지를 정확히 확인하여야 재발을 방지할 수 있습니다.

발목 불안정증이 있을 때 완전 파열을 제외하고는 수술까지 필요한 경우는 의외로 드뭅니다.

약해진 인대를 대신하여 발목 바깥쪽의 비골건을 강화 시키고, 균형을 유지하는 발목과 종아리의 근육들을 강화시켜 발목에 안정성을 부여해 주면 대부분 증상이 많이 좋아질 수 있습니다. 이것은 재활치료를 통해서도 가능하며, 외래에서도 충분히 교육을 진행하고 있습니다. 

서울퍼펙트정형외과

발목염좌/인대파열 치료법

관절/신경주사

관절 안쪽과 인대 등 환부에

약물주사를 통해 염증, 통증 치료


바로가기   +

도수치료

풍부한 임상경험을 가진 숙련된

도수전문치료사의 1:1 맞춤치료


바로가기   +

체외충격파

충격파 에너지를 이용하여

만성통증, 손상관절 등의 회복과 재생


바로가기   +

ANKLE SPRAIN & LIGAMENT TEAR PREVENTIVES

발목염좌/인대파열

예방, 관리법

관절에 무리가 되는 운동 피하기

발목 염좌가 있는 경우에는 부상이 재발할 수 있는 과격한 운동은 삼가야 합니다. 재파열시 치유가 늦어지고 후유증이 남을 수 있습니다.

너무 높은 굽의 신발 피하기

미끄러움 방지가 가능한 밑창이 있는 신발을 신는 것이 좋으며, 굽이 너무 높은 신발은 피하기를 권합니다.

운동 전 충분한 준비운동

운동 전 충분한 준비운동을 통해 근육의 긴장을 풀어주고 인대와 관절을 예열 시켜주어야 부상을 예방할 수 있습니다.

부상을 예방하기 위한 재활운동

급성기 치료가 끝나면 발목 외측, 내측의 근육을 강화하고 부상을 예방하기 위한 재활운동이 반드시 필요합니다.


mobile background

서울퍼펙트정형외과

발목염좌/인대파열

치료법

관절/신경주사


관절 안쪽과 인대 등 환부에

약물주사를 통해 염증, 통증 치료


바로가기    +

도수치료


풍부한 임상경험을 가진

숙련된 도수전문치료사의 1:1 맞춤치료


바로가기    +

체외충격파


충격파 에너지를 이용하여

만성통증, 손상관절 등의 회복과 재생


바로가기    +

ANKLE SPRAIN & LIGAMENT TEAR PREVENTIVES

발목염좌/인대파열 예방, 관리법

관절에 무리가 되는 운동 피하기

발목 염좌가 있는 경우에는 부상이 재발할 수 있는 과격한 운동은 삼가야 합니다.

재파열시 치유가 늦어지고 후유증이 남을 수 있습니다.

운동 전 충분한 준비운동

운동 전 충분한 준비운동을 통해 근육의 긴장을 풀어주고

인대와 관절을 예열 시켜주어야 부상을 예방할 수 있습니다.

너무 높은 굽의 신발 피하기

미끄러움 방지가 가능한 밑창이 있는 신발을 신는 것이 좋으며,

굽이 너무 높은 신발은 피하기를 권합니다.

부상을 예방하기 위한 재활운동

급성기 치료가 끝나면 발목 외측, 내측의 근육을 강화하고

부상을 예방하기 위한 재활운동이 반드시 필요합니다.