HALLUX VALGUS & HAMMER TOE

무지외반증/갈퀴족지

'무지'란 엄지발가락을 뜻하며, '외반'이란 외측으로 돌출되는

변형을 말합니다. 즉, 엄지발가락이 외측으로 돌출되는

발가락 변형 질환을 의미합니다.


건강보험심사평가원 통계에 따르면 연평균 6만 명이

무지 외반증 치료를 위해 병원을 찾습니다. 

CAUSE AND SYMPTOMS

무지외반증/갈퀴족지

원인과 증상

무지외반증/갈퀴족지는 엄지발가락의 관절이 바깥쪽으로 휘어지는 증상으로 신발과의 마찰로 인해 통증을 일으키는 질환입니다.

원인

평발 등의 유전적 요인
잘 맞지 않는 신발 착용
선천적인 발가락 변형
류마티스 관절염

증상

극심한 발바닥 통증
관절 동통 및 부종
뻣뻣한 느낌
돌출 부위가 신발에 부딪힘

SEOUL PERFECT ORTHOPEDICS

서울퍼펙트정형외과
무지외반증, 갈퀴족지 치료 프로그램

풍부한 임상경험의 전문의

발과 발목은 복잡한 해부학적 요소와 생리 역학적인 부분이 맞물려있는 관절입니다. 오랜 외래 진료 경험과 수 천례 이상의 수술을 통해 쌓여진 풍부한 임상경험으로 정확하게 원인을 진단합니다.

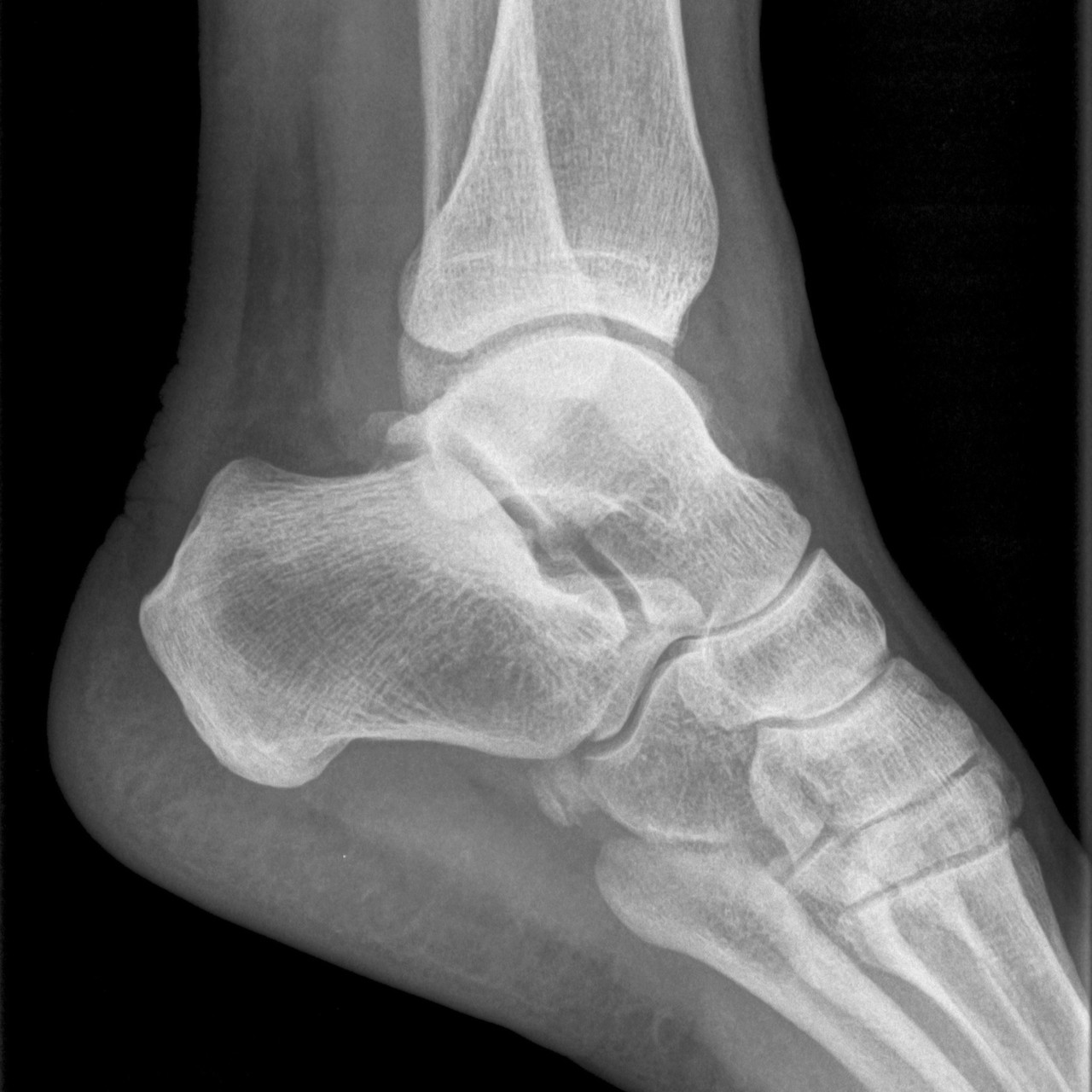
영상의학 검사

방사선 검사를 통해 해부학적 이상 소견 및 발의 정렬, 아치의 높이등을 확인하고 정밀 초음파로 인대 손상여부와 정도를 정확하게 파악하여야 올바른 치료의 방향을 결정할 수 있습니다.

맞춤형 치료

체외 충격파, 도수치료, 운동재활 치료와 같은 비침습척 치료에서부터 주사치료까지 다양한 치료가 가능하며 환자분의 인대상태, 불안정증 정도에 따라 맞춤형 치료가 가능합니다.

HALLUX VALGUS & HAMMER TOE Q&A

무지외반증/갈퀴족지

자주 묻는 질문

HALLUX VALGUS & HAMMER TOE

무지외반증/갈퀴족지

'무지'란 엄지발가락을 뜻하며, '외반'이란 외측으로 돌출되는 변형을 말합니다.

즉, 엄지발가락이 외측으로 돌출되는 발가락 변형 질환을 의미합니다.


건강보험심사평가원 통계에 따르면 연평균 6만 명이 무지 외반증 치료를 위해 병원을 찾습니다. 

mobile background

CAUSE AND SYMPTOMS

무지외반증/갈퀴족지 원인과 증상

무지외반증/갈퀴족지는 엄지발가락의 관절이 바깥쪽으로

휘어지는 증상으로 신발과의 마찰로 인해 통증을 일으키는 질환입니다. 

원인

증상

평발 등의 유전적 요인
잘 맞지 않는 신발 착용
선천적인 발가락 변형
류마티스 관절염
극심한 발바닥 통증
관절 동통 및 부종
뻣뻣한 느낌
돌출 부위가 신발에 부딪힘
mobile background

SEOUL PERFECT ORTHOPEDICS

서울퍼펙트정형외과 무지외반증/갈퀴족지 치료 프로그램

풍부한 임상경험의 전문의

발과 발목은 복잡한 해부학적 요소와 생리 역학적인 부분이 맞물려있는 관절입니다. 오랜 외래 진료 경험과 수 천례 이상의 수술을 통해 쌓여진 풍부한 임상경험으로 정확하게 원인을 진단합니다.

영상의학검사

방사선 검사를 통해 해부학적 이상 소견 및 발의 정렬, 아치의 높이등을 확인하고 정밀 초음파로 인대 손상여부와 정도를 정확하게 파악하여야 올바른 치료의 방향을 결정할 수 있습니다.

맞춤형 치료

체외 충격파, 도수치료, 운동재활 치료와 같은 비침습척 치료에서부터 주사치료까지 다양한 치료가 가능하며 환자분의 인대상태, 불안정증 정도에 따라 맞춤형 치료가 가능합니다.

mobile background

무지외반증은 유전적인 요소가 60% 이상을 차지합니다. 특히 평발과 무지외반증이 같이 있는 부모님이 있다면 나이가 들면서 발 모양이 비슷하게 변형되는 것이 일반적입니다. 

후천적으로는 하이힐 등 굽이 높고 볼이 좁은 신발을 많이 신을 경우 심해집니다. 발가락을 죄는 하이힐을 장시간 착용하면 무게 중심이 앞으로 쏠려 발가락이 더 심하게 압력을 받게 되고 엄지발가락이 새끼발가락 쪽으로 돌아가면서 엄지발가락 내측이 돌출됩니다. 그리고 엄지발가락이 받아야 할 힘이 두번째와 세번째 발가락에 전달되면서 발바닥쪽에 굳은살이 생기기도 합니다.

무지외반증은 엄지발가락 끝이 바깥쪽으로 휘면서 발 내측 볼이 안쪽으로 튀어나오는 질환입니다. 

주로 엄지발가락 내측에 통증이 발생하며 심해지면 다른 발가락에도 변형이 생기고, 통증이 심할 경우 신발을 신기가 불편하고 보행도 힘들어집니다. 다만 발 모양의 변형이 진행되어도 통증을 느끼지 못하는 사람도 많은데 이런 경우에는 더 진행하지 않도록 조심하면서 경과를 지켜보기도 합니다. 

단순히 발 모양이 보기 싫어서 치료를 시작하는 경우는 드뭅니다. 다만 변형이 갑자기 진행되거나 통증이 점점 심해지면 반드시 적절한 치료가 필요합니다. 악화되면 엄지 발가락 관절이 붓고 보행시에 통증이 발생합니다. 퇴행성 관절염이 진행하면서 골극이 생기기도 하고, 발가락 안쪽 윤활낭에 염증을 유발할 수도 있습니다. 

2차적으로 걸음걸이에 문제가 생기고 엄지발가락이 힘을 제대로 받지 못하면서 무릎, 엉덩이, 허리 통증도 발생할 수 있으므로 엄지 발가락 통증이 느껴진다면 방치하지 말고 전문 의료진에게 진료를 받으시기 바랍니다. 

서울퍼펙트정형외과

무지외반증 치료법

관절/인대주사

관절 안쪽과 인대 등 환부에

약물주사를 통해 염증, 통증 치료


바로가기   +

도수치료

골반 블균형이나 양쪽 다리 길이 차이 등은

몸의 밸런스를 맞춰주는 것이 중요함


바로가기   +

체외충격파

충격파 에너지를 이용하여 만성통증,

손상관절 등의 회복과 재생


바로가기   +

HALLUX VALGUS & HAMMER TOE PREVENTIVES

무지외반증/갈퀴족지

예방, 관리법

발이 편한 신발 이용

하이힐과 같은 신발을 피하고, 발 볼이 넓고 공간에 여유가 있는 신발을 신는 것이 좋습니다. 특히 평발이 있는 분들은 발바닥 안쪽에 아치가 충분한 신발을 신거나 깔창을 사용하는 것이 통증 완화 및 무지 외반증 예방에 도움이 됩니다.

발이 붓지 않도록 관리

처음에 발에 여유가 있는 신발을 신더라도 장시간 한 자세에서 오래 서있거나 휴식없이 많이 걷게되면 발이 부으면서 여유공간이 사라집니다. 발이 붓지 않도록 중간중간 휴식을 취하고 발이 많이 부었다면 누운 상태에서 발을 높에 들어 붓기를 빼주는것이 좋습니다. 

족욕, 스트레칭

여유가 되는 시간에 발을 따뜻한 물에 담그거나(족욕), 발을 주무르고 스트레칭하는 것도 무지 외반증 예방에 도움이 됩니다.

전문의와의 상담

무지외반증은 대부분 엑스레이 등으로 간단하게 진단이 가능합니다. 발 변형이 있다면 전문의와 상담을 통해 현재 상태를 확인하고 보정해 줄 수 있는 신발이나 깔창을 선택해 신는 것이 좋습니다.


mobile background

서울퍼펙트정형외과

무지외반증 치료법

관절/인대주사


관절 안쪽과 인대 등 환부에

약물주사를 통해 염증, 통증 치료


바로가기    +

도수치료


풍부한 임상경험을 가진

숙련된 도수전문치료사의 1:1 맞춤치료


바로가기    +

체외충격파


충격파 에너지를 이용하여

만성통증, 손상관절 등의 회복과 재생


바로가기    +

HALLUX VALGUS & HAMMER TOE PREVENTIVES

무지외반증/갈퀴족지 예방, 관리법

발이 편한 신발 이용

하이힐과 같은 신발을 피하고,  발 볼이 넓고 공간에 여유가 있는 신발을

신는 것이 좋습니다. 특히 평발이 있는 분들은 발바닥 안쪽에

아치가 충분한 신발을 신거나 깔창을 사용하는 것이

통증 완화 및 무지 외반증 예방에 도움이 됩니다.

족욕, 스트레칭

여유가 되는 시간에 발을 따뜻한 물에 담그거나(족욕),

발을 주무르고 스트레칭하는 것도 무지 외반증 예방에 도움이 됩니다.

발이 붓지 않도록 관리

처음에 발에 여유가 있는 신발을 신더라도 장시간 한 자세에서

오래 서있거나 휴식없이 많이 걷게되면 발이 부으면서 여유공간이 사라집니다.

발이 붓지 않도록 중간중간 휴식을 취하고 발이 많이 부었다면

누운 상태에서 발을 높에 들어 붓기를 빼주는것이 좋습니다. 

전문의와의 상담

무지외반증은 대부분 엑스레이 등으로 간단하게 진단이 가능합니다.

발 변형이 있다면 전문의와 상담을 통해 현재 상태를 확인하고

보정해 줄 수 있는 신발이나 깔창을 선택해 신는 것이 좋습니다.