PREHALLUX SYNDROME

부주상골증후군

우리 발의 안쪽에는 엄지발가락과 발목을 이어주며

걷거나 뛸 때 충격을 흡수해 주는 주상골이라는 뼈가 있습니다.

전체 인구 중 10~15%는 이 주상골 옆에 부주상골이라는

불필요한 뼈가 있는데, 일상생활에서는 크게 불편함이 없어

부주상골을 갖고 있지만 잘 모르고 지내는 경우가 많습니다.


하지만 부주상골에 지속적인 압박이 가해지는 운동을 하거나

발목이 바깥쪽으로 꺾이는 부상을 겪게되면 통증이 발생하는데

이것을 부주상골증후군 이라고 합니다.


부주상골에는 후경골건이라고 하는 힘줄이 부착하는데,

특히 부주상골증후군이 발의 아치 모양을 유지하는 후경골건에

영향을 끼친다면 진단 후 빠른 치료를 받아야 합니다.

CAUSE AND SYMPTOMS

부주상골증후군 원인과 증상

부주상골증후군은 대부분 증상을 나타내지 않고 단순 방사선 촬영 시 우연히 발견되는 경우가 많지만, 증상을 일으키는 경우에 부주상골증후군이라 부르게 됩니다.

원인

선천적 원인
발목 부상
불편한 신발 착용
발목염좌 골절

증상

부주상골에 발생하는 통증
부주상골 부위에 부종과 압통
평발과 동반되는 경우가 흔함
운동을 많이 하면 아픔

SEOUL PERFECT ORTHOPEDICS

서울퍼펙트정형외과
부주상골증후군 치료 프로그램

풍부한 임상경험의 전문의

발과 발목은 복잡한 해부학적 요소와 생리 역학적인 부분이 맞물려있는 관절입니다. 오랜 외래 진료 경험과 수 천례 이상의 수술을 통해 쌓여진 풍부한 임상경험으로 정확하게 원인을 진단합니다.

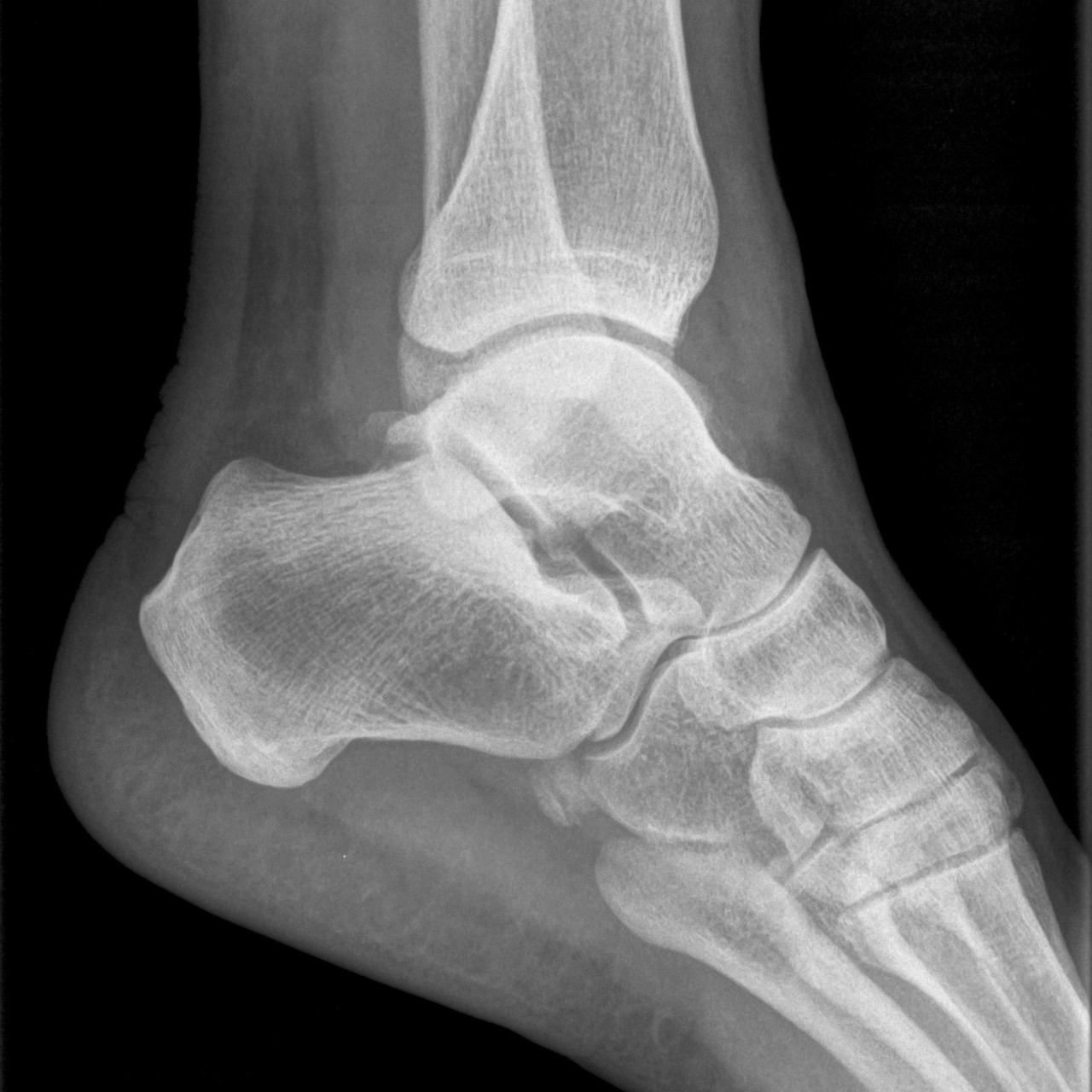
영상의학 검사

방사선검사로 해부학적 이상 소견 및 발의 정렬, 아치의 높이등을 확인하고 정밀 초음파로 인대 손상여부와 정도를 정확하게 파악하여야 올바른 치료의 방향을 결정할 수 있습니다.

맞춤형 치료

체외 충격파, 도수치료, 운동재활 치료와 같은 비침습척 치료에서부터 주사치료까지 다양한 치료가 가능하며 환자분의 인대상태, 불안정증 정도에 따라 맞춤형 치료가 가능합니다.

PREHALLUX SYNDROME Q&A

부주상골증후군 자주 묻는 질문

PREHALLUX SYNDROME

부주상골증후군

우리 발의 안쪽에는 엄지발가락과 발목을 이어주며 걷거나 뛸 때 충격을 흡수해 주는 주상골이라는 뼈가 있습니다.

전체 인구 중 10~15%는 이 주상골 옆에 부주상골이라는 불필요한 뼈가 있는데,

일상생활에서는 크게 불편함이 없어 부주상골을 갖고 있지만 잘 모르고 지내는 경우가 많습니다.


하지만 부주상골에 지속적인 압박이 가해지는 운동을 하거나 발목이 바깥쪽으로 꺾이는 부상을 겪게되면

통증이 발생하는데 이것을 부주상골증후군 이라고 합니다. 부주상골에는 후경골건이라고 하는 힘줄이 부착하는데,

특히 부주상골증후군이 발의 아치 모양을 유지하는 후경골건에 영향을 끼친다면 진단 후 빠른 치료를 받아야 합니다.

mobile background

CAUSE AND SYMPTOMS

부주상골증후군 원인과 증상

부주상골증후군은 대부분 증상을 나타내지 않고 

단순 방사선 촬영 시 우연히 발견되는 경우가 많지만, 

증상을 일으키는 경우에 부주상골증후군이라 부르게 됩니다.

원인

증상

선천적 원인
발목 부상
불편한 신발 착용
발목염좌 골절
부주상골에 발생하는 통증
부주상골 부위에 부종과 압통
평발과 동반되는 경우가 흔함
운동을 많이 하면 아픔
mobile background

SEOUL PERFECT ORTHOPEDICS

서울퍼펙트정형외과 부주상골증후군 치료 프로그램

풍부한 임상경험의 전문의

발과 발목은 복잡한 해부학적 요소와 생리 역학적인 부분이 맞물려있는 관절입니다. 오랜 외래 진료 경험과 수 천례 이상의 수술을 통해 쌓여진 풍부한 임상경험으로 정확하게 원인을 진단합니다.

영상의학검사

방사선검사로 해부학적 이상 소견 및 발의 정렬, 아치의 높이등을 확인하고 정밀 초음파로 인대 손상여부와 정도를 정확하게 파악하여야 올바른 치료의 방향을 결정할 수 있습니다.

맞춤형 치료

체외 충격파, 도수치료, 운동재활 치료와 같은 비침습척 치료에서부터 주사치료까지 다양한 치료가 가능하며 환자분의 인대상태, 불안정증 정도에 따라 맞춤형 치료가 가능합니다.

mobile background

부주상골은 발목뼈 중 주상골 옆에 위치하는 부골(accessory bone)로서 청소년기에 주상골과 하나의 뼈로 유합되는데, 유합하지 못하고 남아있는 것을 말합니다. 부주상골은 인구의 10~20%에서 발견될 만큼 흔합니다. 

발목이 바깥쪽으로 꺾이는 외상이나 무리한 운동 후에 발 안쪽의 볼록 튀어나온 부위에 통증이 느껴지고 이것이 반복된다면, 검사 후 부주상골 증후군을 진단할 수 있습니다. 부주상골 증후군은 발목 안정과 아치(arch) 의 높이를 유지하는데 중요한 역할을 하는 후경골건의 부착부위이기 때문에 증상 발생 시 반드시 치료가 필요합니다.

모든 경우에서 그런 것은 아니지만, 부주상골은 평발과 밀접한 관련이 있습니다.

부주상골은 후경골근(tibialis posterior tendon)이라는 근육이 부착되는 부위와 가까이 위치합니다. 이 근육은 발의 종아치(arch)를 지지하는 데 중요한 역할을 합니다. 부주상골이 있으면 후경골근의 기능에 영향을 미쳐 발 아치가 약화될 수 있고, 그 결과 평발로 이어질 가능성이 있습니다. 부주상골은 평발을 가진 사람들 사이에서 더 흔히 발견됩니다. 연구에 따르면, 평발을 가진 사람 중 일부는 부주상골이 원인일 가능성이 높습니다. 

대부분은 비수술적 치료로 좋아집니다. 증상이 발생했을 때 과격한 운동이나 발에 무리가 가는 활동(특히 달리기, 점프 등)을 제한합니다. 얼음찜질이나 약물치료, 테이핑이나 스트레칭을 통해 발 아치를 지지하고 근육 긴장을 완화합니다. 증상이 심한 경우에는 일시적으로 발목을 부목으로 고정해주고 부주상골주변의 염증을 제거하고 후경골근의 긴장을 완화시키기 위해 주사치료나 체외충격파를 시행합니다. 

발바닥의 아치를 유지시켜주는 보조기나 깔창을 착용하기도 합니다. 이러한 비수술적 치료에도 증상이 지속되거나 일상생활에 큰 지장을 주는 경우에 드물게 수술적 치료를 고려할 수 있습니다. 부주상골과 관련된 치료는 환자의 상태에 따라 맞춤형으로 계획되어야 합니다. 따라서 정형외과 전문의를 방문해 정확한 진단을 받은 뒤 적합한 치료를 받는 것이 중요합니다.

서울퍼펙트정형외과

부주상골증후군 치료법

관절/인대주사

관절 안쪽과 인대 등 환부에

약물주사를 통해 염증, 통증 치료


바로가기   +

도수치료

풍부한 임상경험을 가진 숙련된

도수전문치료사의 1:1 맞춤치료


바로가기   +

체외충격파

충격파 에너지를 이용하여 만성통증,

손상관절 등의 회복과 재생


바로가기   +

PREHALLUX SYNDROME PREVENTIVES

부주상골증후군 예방, 관리법

발목 부상 방지

부주상골증후군은 발목이 바깥 쪽으로 꺾이면서 시작되는 경우가 많습니다. 외상을 당하지 않도록 조심하고 아치가 낮은 신발을 피하는 것이 좋습니다. 

적절한 체중 유지

급격한 체중 증가나 비만의 경우 발바닥 아치에 지속적으로 스트레스를 주어 부주상골증후군 악화의 원인이 되므로 적절한 체중 유지가 도움이 됩니다. 적절한 체중 유지를 위해 식이조절을 하는 것이 좋습니다.

발 뒤꿈치 들어올리지 않기

장시간 보행 또는 서 있는 자세, 발뒤꿈치를 들어 올리는 동작은 피하는 것이 좋습니다. 특히 발 뒤꿈치를 들고 점프하거나 착지하는 동작을 할 때 손상이 더 심해질 수 있으므로 주의하여야 합니다.

부상을 예방하기 위한 재활운동

급성기 치료가 끝나면 발목 외측, 내측의 근육을 강화하고 부상을 예방하기 위한 재활운동이 반드시 필요합니다.


mobile background

서울퍼펙트정형외과

부주상골증후군

치료법

관절/인대주사


관절 안쪽과 인대 등 환부에

약물주사를 통해 염증, 통증 치료


바로가기    +

도수치료


풍부한 임상경험을 가진

숙련된 도수전문치료사의 1:1 맞춤치료


바로가기    +

체외충격파


충격파 에너지를 이용하여

만성통증, 손상관절 등의 회복과 재생


바로가기    +

PREHALLUX SYNDROME PREVENTIVES

부주상골증후군 예방, 관리법

발목 부상 방지

부주상골증후군은 발목이 바깥 쪽으로 꺾이면서 시작되는 경우가 많습니다.

외상을 당하지 않도록 조심하고 아치가 낮은 신발을 피하는 것이 좋습니다.


발 뒤꿈치 들어올리지 않기

장시간 보행 또는 서 있는 자세, 발뒤꿈치를 들어 올리는 동작은

피하는 것이 좋습니다. 특히 발 뒤꿈치를 들고 점프하거나

착지하는 동작을 할 때 손상이 더 심해질 수 있으므로 주의하여야 합니다.

적절한 체중 유지

급격한 체중 증가나 비만의 경우 발바닥 아치에 지속적으로 스트레스를 주어

부주상골증후군 악화의 원인이 되므로 적절한 체중 유지가 도움이 됩니다.

적절한 체중 유지를 위해 식이조절을 하는 것이 좋습니다.

부상을 예방하기 위한 재활운동

급성기 치료가 끝나면 발목 외측, 내측의 근육을 강화하고

부상을 예방하기 위한 재활운동이 반드시 필요합니다.