KNEE OSTEOARTHRITIS

무릎 퇴행성관절염 

무릎 관절은 우리가 일생생활을 하면서 무릎을 굽히고 펴며

자연스러운 보행을 위한 중요한 관절입니다.

이런 무릎 관절에 나이가 들며 생기는 퇴행성변화로 인해

연골이 닳아 없어지며 연골 밑의 뼈가 노출되거나, 관절 주변의

활액막에 염증이 생겨 통증 및 변형이 일어나는 질환

무릎 퇴행성 관절염이라고 합니다.


관절 질환 중 가장 많이 발생하는 질환이며 주로 50대 이후로

많이 발생하지만 나이가 젊어도 비만이나 무리한 다이어트,

과도한 무릎의 사용, 외상 등으로도 발생할 수 있습니다. 

CAUSE AND SYMPTOMS

무릎 퇴행성관절염

원인과 증상

무릎 퇴행성관절염은 관절의 연골이 점진적으로 손상되거나 닳으면서 발생하는 만성 질환입니다. 예전에는 노화로 나이가 들면 발생한다고 알려졌었으나, 젊은 나이에서도 발병할 수 있습니다. 

원인

노화
유전적 요인
관절의 과도한 사용
무리한 운동 및 외상

증상

관절의 통증, 뻣뻣함
운동범위의 감소
관절에서 나는 소리
관절 모양의 변화

SEOUL PERFECT ORTHOPEDICS

서울퍼펙트정형외과
퇴행성관절염 치료 프로그램

풍부한 임상경험

무릎 관절의 복잡한 해부학과 관절염에 대한 생리와 기전을 정확하게 이해하여야 퇴행성 관절염을 올바르게 접근하고 치료할 수 있습니다. 임상경험, 수술경험이 많은 전문의의 진단이 매우 중요합니다.

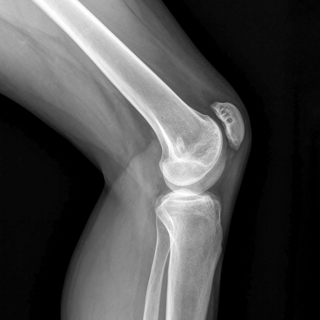
영상의학 검사

퇴행성 관절염은 영상을 정확히 판독할 수 있는 정형외과 전문의의 역할이 중요합니다. 엑스레이와 환자의 증상만으로도 90% 이상 진단할 수 있습니다.

맞춤형 치료

체외 충격파, 도수 치료와 같은 보존적인 치료에서 시술, 수술까지 다양한 치료가 가능하여 환자분의 상태에 따라 맞춤형 치료가 가능합니다.

KNEE OSTEOARTHRITIS Q&A

무릎 퇴행성관절염

자주 묻는 질문

KNEE OSTEOARTHRITIS

무릎 퇴행성관절염

무릎 관절은 우리가 일생생활을 하면서 무릎을 굽히고 펴며 자연스러운 보행을 위한 중요한 관절입니다.

이런 무릎 관절에 나이가 들며 생기는 퇴행성변화로 인해 연골이 닳아 없어지며 연골 밑의 뼈가 노출되거나,

관절 주변의 활액막에 염증이 생겨 통증 및 변형이 일어나는 질환을 무릎 퇴행성 관절염이라고 합니다.


관절 질환 중 가장 많이 발생하는 질환이며 주로 50대 이후로 많이 발생하지만 나이가 젊어도

비만이나 무리한 다이어트, 과도한 무릎의 사용, 외상 등으로도 발생할 수 있습니다. 

mobile background

CAUSE AND SYMPTOMS

무릎 퇴행성관절염 원인과 증상

무릎 퇴행성관절염이란 관절의 연골이 점진적으로 손상되거나 

닳으면서 발생하는 만성 질환입니다. 예전에는 노화로 나이가 들면 

발생한다고 알려졌었으나, 젊은 나이에서도 발병할 수 있습니다.

원인

증상

노화
유전적 요인
관절의 과도한 사용
무리한 운동 및 외상
관절의 통증, 뻣뻣함
운동범위의 감소
관절에서 나는 소리
관절 모양의 변화
mobile background

SEOUL PERFECT ORTHOPEDICS

서울퍼펙트정형외과 퇴행성관절염 치료 프로그램

풍부한 임상경험

무릎 관절의 복잡한 해부학과 관절염에 대한 생리와 기전을 정확하게 이해하여야 퇴행성 관절염을 올바르게 접근하고 치료할 수 있습니다. 임상경험, 수술경험이 많은 전문의의 진단이 매우 중요합니다.

영상의학 검사

퇴행성 관절염은 영상을 정확히 판독할 수 있는 정형외과 전문의의 역할이 중요합니다. 엑스레이와 환자의 증상만으로도 90% 이상 진단할 수 있습니다.

맞춤형 치료

체외 충격파, 도수 치료와 같은 보존적인 치료에서 시술, 수술까지 다양한 치료가 가능하여 환자분의 상태에 따라 맞춤형 치료가 가능합니다.

mobile background

퇴행성 관절염은 관절을 보호하는 연골이 점진적으로 손상되거나 마모되어 발생하는 만성 질환입니다. 이 질환은 나이가 들면서 자연스럽게 발생하는 퇴행성 변화로, 주로 무릎, 엉덩이, 손가락, 척추 등 가동성이 많은 관절에 영향을 미칩니다.

연골이 닳아 없어지고 관절 구조가 손상되면서 통증과 운동 제한이 주요 증상으로 나타납니다. 염증이 있을 수 있지만, 이는 주된 원인이라기보다는 결과로 나타나는 경우가 많습니다. 일반적으로 병원에서 자주 언급되는 염증은 힘줄의 건초염, 관절의 활액막염 등과 같은 급성 염증을 이야기하는 것으로, 퇴행성 관절염과는 본질적인 면에서 차이가 있습니다.

두 질환은 비슷한 부분이 있지만 진단에 따라 치료가 크게 달라지기 문에 전문의의 경험이 매우 중요합니다. 

류마티스 관절염의 경우에는 양측에 대칭적을 발생하는 것이 특징입니다. 아침에 관절 뻣뻣함이 심하며, 30분 이상 지속되는 조조강직이 나타나고활동을 하면 증상이 완화되기도 합니다. 쉴때도 통증이 있는 것이 특징적입니다. 

퇴행성 관절염은 운동 후 또는 관절을 많이 사용한 후에 통증이 심해지는 것이 일반적이고 쉬면 통증이 줄어드는 경우가 많습니다. 엑스레이에서도 두 질환을 구별할 수 있는데 퇴행성관절염의 경우에는 관절의 간격감소와 골극의 형성이 비교적 고르게 나타나는 반면, 류마티스 관절염의 경우에는 중간마디나 발목 등의 큰 관절에도 나타나며 관절의 파괴, 골 용해가 나타나는 경우가 많습니다. 

일반적으로 피검사를 하지 않아도 엑스레이와 환자의 증상만 자세히 살피면 류마티스 관절염과 퇴행성 관절염을 구별할 수 있습니다. 

퇴행성 관절염은 관절연골의 마모가 주 증상이기 때문에 진행한 관절염을 되돌릴 수는 없습니다.

그렇기 때문에 초기에 진단하고 진행을 늦추는 것이 매우 중요합니다. 빨리 발견하고 관리를 시작하면 퇴행성 관절염을 예방할 수 있습니다. 특히 퇴행성 관절염이 빠르게 진행하는 만50 - 55세 여성에서는 관절 사용을 줄여주는것이 매우 중요한데, 이는 폐경 이후의 에스트로겐 수치가 감소되기 때문입니다. 

많은 연구결과에서 만55세까지 관절염이 빠르게 진행하다가 호르몬이 안정되는 55세 이후에는 관절염의 진행이 늦어지는 것이 보고되었습니다. 증상에 따라서 주사나 체외충격파, 수술적 치료와 같은 치료를 할 수 있지만 퇴행성 관절염으로 인하여 마모된 연골을 되돌리지는 못합니다. 무엇보다도 초기진단과 예방이 중요한 질환입니다.

서울퍼펙트정형외과

무릎 퇴행성관절염

치료법

관절/신경주사

관절 및 말초신경 부분에

약물주사를 통해 염증, 통증 치료


바로가기   +

도수치료

풍부한 임상경험을 가진 숙련된

도수전문치료사의 1:1 맞춤치료


바로가기   +

체외충격파

충격파 에너지를 이용하여

만성통증, 손상관절 등의 회복과 재생


바로가기   +

KNEE OSTEOARTHRITIS PREVENTIVES

무릎 퇴행성관절염 예방, 관리법

무릎 압력이 심해지는 운동 피하기

경사가 심한 산의 등산이나 계단 오르내리기 등을 가급적 피하는 것이 좋습니다. 비탈에서 하는 운동보다는 평지운동이 좋습니다.

꾸준하게 운동하기

가장 기본이 되는 운동은 바로 걷기입니다. 처음 걷기 운동을 시작할 때는 30분 정도로 편하게 걷도록 하며, 차츰 시간을 늘리고 속도를 높여 나중에는 1시간 정도 빠르게 걷는 것이 좋습니다.

체중 관리하기

체중이 1kg 증가하면 무릎에 가해지는 추가 부담은 3~6kg이 됩니다. 계단을 오를 때나 뛰는 경우에는 체중의 최대 7배까지 압력이 증가합니다. 체중을 1kg 줄이면, 무릎에 가해지는 부담이 약 4kg 감소합니다.

무릎에 안 좋은 자세 피하기

무릎 꿇기, 양반다리 하기, 쪼그려 앉기와 같은 자세는 무릎 관절에 좋지 않으며, 무릎 건강을 위해서는 피하시는 것이 좋겠습니다.


mobile background

서울퍼펙트정형외과

무릎 퇴행성관절염

치료법

관절/신경주사


관절 및 말초신경 부분에

약물주사치료를 통해 염증, 통증 치료


바로가기    +

도수치료


풍부한 임상경험을 가진

숙련된 도수전문치료사의 1:1 맞춤치료


바로가기    +

체외충격파


충격파 에너지를 이용하여

만성통증, 손상관절 등의 회복과 재생


바로가기    +

KNEE OSTEOARTHRITIS PREVENTIVES

무릎 퇴행성관절염 예방, 관리법

무릎에 압력이 심해지는 운동 피하기

경사가 심한 산의 등산이나 계단 오르내리기 등을 가급적 피하는 것이 좋습니다.

비탈에서 하는 운동보다는 평지운동이 좋습니다.


체중 관리하기

체중이 1kg 증가하면 무릎에 가해지는 추가 부담은 3~6kg이 됩니다.

계단을 오를 때나 뛰는 경우에는 체중의 최대 7배까지 압력이 증가합니다.

체중을 1kg 줄이면, 무릎에 가해지는 부담이 약 4kg 감소합니다.

꾸준하게 운동하기

가장 기본이 되는 운동은 바로 걷기입니다. 처음 걷기 운동을 시작할 때는

30분 정도로 편하게 걷도록 하며, 차츰 시간을 늘리고 속도를 높여

나중에는 1시간 정도 빠르게 걷는 것이 좋습니다.

무릎에 안 좋은 자세 피하기

무릎 꿇기, 양반다리 하기, 쪼그려 앉기와 같은 자세는 무릎 관절에 좋지 않으며,

무릎 건강을 위해서는 피하시는 것이 좋겠습니다.