ROTATOR CUFF TEAR

회전근개 파열

반복적인 충격이나 자극이 가해져 회전근개가 파열되어

극심한 통증을 일으키는 질환을 말합니다.

어깨관절을 덮고 있는 네 개의 근육(극상근, 극하근, 견갑하근, 

소원근)을 합쳐서 회전근개라고 하는데 4개의 회전근 중

특히 극상근의 파열 비율이 가장 높습니다.


회전근개에 발생한 염증과 손상은 어깨관절 통증의

가장 흔한 원인 중 하나입니다. 

CAUSE AND SYMPTOMS

회전근개 파열 원인과 증상

회전근개 파열이란 팔을 회전시키는 근육인 회전근개 (극상근, 극하근, 견갑하근, 소원근)의 일부 또는 전층이 파열되는 것을 말합니다. 대부분 느린 속도의 만성 파열이나, 일부는 급성 파열이기도 합니다.

원인

잘못된 생활습관 
퇴행성 변화 
운동 등 과도한 어깨사용 
외부 충격으로 인한 급성 파열 

증상

수면장애가 동반되는 야간통 
팔에 힘을 빼면 툭 떨어짐
어깨 운동 시 뼈가 부딪히는 소리 
어깨 주변 결리는 느낌과 통증 

SEOUL PERFECT ORTHOPEDICS

서울퍼펙트정형외과 
회전근개 치료 프로그램

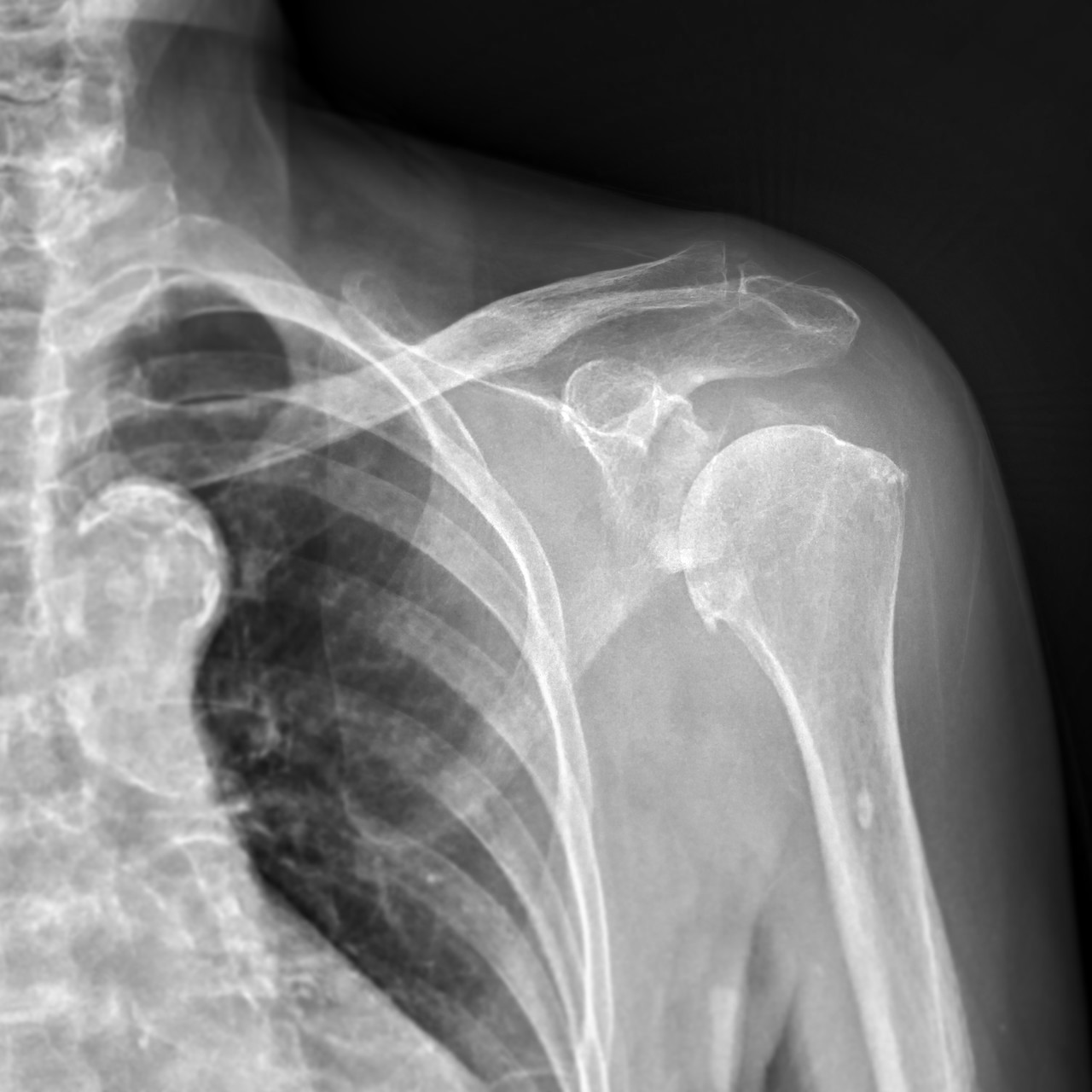
정밀진단

원장님과 상담 후 X-ray, 초음파 등 정밀 장비를 이용하여 정확하게 분석한 후 해당 결과를 토대로 재상담을 진행

1:1 맞춤치료

통증 감소를 위해 검사 결과에 따라 개개인에게 알맞는 시술 또는 치료 프로그램을 맞춤형으로 진행

철저한 사후관리

몸의 변화를 살피며 치료 단계마다 원장님과 전문 물리치료사가 통증의 지속적인 감소를 위해 세심하게 관리

ROTATOR CUFF TEAR Q&A

회전근개 파열 자주 묻는 질문

ROTATOR CUFF TEAR

회전근개 파열

반복적인 충격이나 자극이 가해져 회전근개가 파열되어 극심한 통증을 일으키는 질환을 말합니다.

어깨관절을 덮고 있는 네 개의 근육(극상근, 극하근, 견갑하근, 소원근)을 합쳐서 회전근개라고 하는데

4개의 회전근 중 특히 극상근의 파열 비율이 가장 높습니다.


회전근개에 발생한 염증과 손상은 어깨관절 통증의 가장 흔한 원인 중 하나입니다. 

mobile background

CAUSE AND SYMPTOMS

회전근개 파열 원인과 증상

회전근개 파열이란 팔을 회전시키는 근육인 회전근개 (극상근, 극하근, 

견갑하근, 소원근)의 일부 또는 전층이 파열되는 것을 말합니다. 

대부분 느린 속도의 만성 파열이나, 일부는 급성 파열이기도 합니다.

원인

증상

잘못된 생활습관
퇴행성 변화
운동 등 과도한 어깨사용 
외부 충격으로 인한 급성 파열 
수면장애가 동반되는 야간통
팔에 힘을 빼면 툭 떨어짐
어깨 운동 시 뼈가 부딪히는 소리
어깨 주변 걸리는 느낌과 통증 
mobile background

SEOUL PERFECT ORTHOPEDICS

서울퍼펙트정형외과 회전근개 치료 프로그램

정밀진단

원장님과 상담 후 X-ray, 초음파 등

정밀 장비를 이용하여 정확하게 분석한 후

해당 결과를 토대로 재상담을 진행

1:1 맞춤치료

통증 감소를 위해 검사 결과에 따라

개개인에게 알맞는 시술 또는

치료 프로그램을 맞춤형으로 진행

철저한 사후관리

몸의 변화를 살피며 치료 단계마다

원장님과 전문 물리치료사가

통증의 지속적인 감소를 위해 세심하게 관리

mobile background

오십견이 관절낭의 염증으로 인하여 어깨 관절의 운동범위가 줄어드는 질환이라면, 회전근개 파열은 견관절의 운동과 안정성을 담당하는 회전근개라는 힘줄이 파열되는 것입니다. 파열이 작으면 운동 범위는 정상이면서 통증이 주로 나타나게 됩니다. 

회전근개 파열에서 오십견이 동반되기도 합니다.

어깨통증원인은 다양하나, 대표적으로 오십견 및 회전근개 파열이 있습니다. 

거의 90%를 차지하는데, 이 두가지 질환은 근골격계 초음파와 이학적 검사로 대부분 진단이 가능하며 치료에 반응을 보이지 않는 경우에 MRI 촬영이 필요 할 수 있습니다. 정확한 진단에 대한 치료효과는 매우 뛰어나서 90%의 환자가 보존적 치료에 좋은 반응을 보입니다.

회전근개파열은 초기에는 50대에 시작하며, 진행형인지 아닌지를 구별하는 것이 중요하여, 초기검진은 초음파검사가 맞습니다. 

초음파검사는 진단과 치료를 동시에 시행할 수 있으며, 실시간으로 치료경과를 확인할 수 있는 장점도 있어 초기검진으로 적절합니다. 회전근개파열은 50% 이하의 부분파열의 경우 초음파로 치료 경과를 파악하면서 경과관찰이 가능합니다. 그러나 MRI 만큼의 정확도는 없기 때문에 초기 검진에서 50%이상의 회전근개파열 소견이 있거나, 진행형 파열로 판단되면 MRI촬영을 시행하여야 하며 수술적 치료계획을 수립해야 합니다. 

서울퍼펙트정형외과

회전근개파열 치료법

관절강내 주사

어깨 관절 내에 초음파를 통한

정확한 주사로 염증/통증 치료


바로가기   +

도수치료

풍부한 임상경험을 가진 숙련된

도수전문치료사의 1:1 맞춤치료


바로가기   +

체외충격파

충격파 에너지를 이용하여

만성통증, 손상관절 등의 회복과 재생


바로가기   +

ROTATOR CUFF TEAR PREVENTIVES

회전근개 파열 예방, 관리법

규칙적인 어깨 운동/스트레칭

어깨 운동은 잠재적인 부상을 예방하는 데 도움이 됩니다. 일반적인 어깨 기구운동 보다는 어깨의 속 근육을 강화하는 것이 중요하며, 운동 전후 흉추와 날개뼈를 스트레칭하여 부상을 예방하는 것이 중요합니다.

바른 자세 유지

자세가 구부정하거나 고개를 숙인 상태에서 어깨를 많이 사용하면 어깨의 충돌증후군이 발생하면서 회전근개 부상에 더 취약해질 수 있습니다. 일상생활에서 자세를 개선하면 장기적인 마모를 예방할 수 있습니다.

반복적인 오버헤드 동작 피하기

반복적인 오버헤드 동작은 회전근개의 손상과 퇴행성 변화를 유발할 수 있습니다. 직업이나 운동(예시 : 접영)으로 인해 팔을 반복적으로 머리 위로 들어야 하는 경우를 줄이고 평소 흉추 스트레칭과 목 자세 관리를 통해 어깨 스트레스를 줄이는 방법이 필요합니다.

어깨 통증 무시하지 말기

어깨에 통증이 시작될 때 경고 신호를 무시하면 안됩니다. 회전근개 손상은 자연치유가 어렵기 때문에 초기에 진단하고 예방하는 것이 중요합니다. 어깨 건강을 유지하기 위해서 빠른 전문의 진단과 치료가 필요합니다.


mobile background

서울퍼펙트정형외과

회전근개파열

치료법

관절강내 주사


어깨 관절 내에 초음파를 통한

정확한 주사로 염증/통증 치료


바로가기    +

도수치료


풍부한 임상경험을 가진

숙련된 도수전문치료사의 1:1 맞춤치료


바로가기    +

체외충격파


충격파 에너지를 이용하여

만성통증, 손상관절 등의 회복과 재생


바로가기    +

ROTATOR CUFF TEAR PREVENTIVES

회전근개 파열 예방, 관리법

규칙적인 어깨 운동/스트레칭

어깨 운동은 잠재적인 부상을 예방하는 데 도움이 됩니다.

일반적인 어깨 기구운동 보다는 어깨의 속 근육을 강화하는 것이 중요하며,

운동 전후 흉추와 날개뼈를 스트레칭하여 부상을 예방하는 것이 중요합니다.

반복적인 오버헤드 동작 피하기

반복적인 오버헤드 동작은 회전근개의 손상과 퇴행성 변화를 유발할 수 있습니다.

직업이나 운동(예시 : 접영)으로 인해 팔을 반복적으로 머리 위로

들어야 하는 경우를 줄이고 평소 흉추 스트레칭과 목 자세 관리를 통해

어깨 스트레스를 줄이는 방법이 필요합니다.

바른 자세 유지

자세가 구부정하거나 고개를 숙인 상태에서 어깨를 많이 사용하면

어깨의 충돌증후군이 발생하면서 회전근개 부상에 더 취약해질 수 있습니다.

일상생활에서 자세를 개선하면 장기적인 마모를 예방할 수 있습니다.

어깨 통증 무시하지 말기

어깨에 통증이 시작될 때 경고 신호를 무시하면 안됩니다. 회전근개 손상은

자연치유가 어렵기 때문에 초기에 진단하고 예방하는 것이 중요합니다.

어깨 건강을 유지하기 위해서 빠른 전문의 진단과 치료가 필요합니다.