SHOULDER IMPINGEMENT

충돌증후군

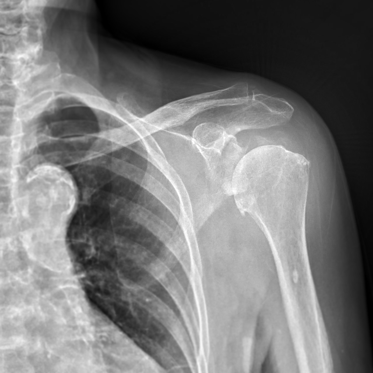
어깨는 모든 관절 중 가장 운동 범위가 큽니다. 그래서 본래

위치를 이탈하기 쉽기 때문에 어깨 주위에는 수많은

근육과 인대가 위치해 관절을 지탱하고 보호하고 있습니다.


충돌증후군은 이런 구조물들이 퇴행성 변화나 외상 등으로

인해 어깨를 위로 올리는 근육이 지나가는 길이 좁아지면서

주변의 뼈나 인대에 충돌하여 통증이 발생하고, 심한 경우

근육이 뜯어지는 현상을 말합니다. 

CAUSE AND SYMPTOMS

충돌증후군 원인과 증상

충돌증후군이란 뼈나 인대에 충돌하여 통증이 발생하고, 심한 경우 근육이 뜯어지는 현상을 말합니다.

원인

해부학적 요인
퇴행성 변화 
어깨뼈 형태에 문제
견봉하 골극 형성이 된 경우

증상

잠들기 힘든 야간통
어깨와 등에 지속적인 통증
통증과 운동 범위의 제한
통증이 있는 쪽으로 눕기 힘듦 

SEOUL PERFECT ORTHOPEDICS

서울퍼펙트정형외과
충돌증후군 치료 프로그램

정밀진단

원장님과 상담 후 X-ray, 초음파 등 정밀 장비를 이용하여 정확하게 분석한 후 해당 결과를 토대로 재상담을 진행

1:1 맞춤치료

통증 감소를 위해 검사 결과에 따라 개개인에게 알맞는 시술 또는 치료 프로그램을 맞춤형으로 진행

철저한 사후관리

몸의 변화를 살피며 치료 단계마다 원장님과 전문 물리치료사가 통증의 지속적인 감소를 위해 세심하게 관리

SHOULDER IMPINGEMENT Q&A

충돌증후군 자주 묻는 질문

SHOULDER IMPINGEMENT

충돌증후군

어깨는 모든 관절 중 가장 운동 범위가 큽니다. 그래서 본래 위치를 이탈하기 쉽기 때문에

어깨 주위에는 수많은 근육과 인대가 위치해 관절을 지탱하고 보호하고 있습니다.


충돌증후군은 이런 구조물들이 퇴행성 변화나 외상 등으로 인해 어깨를 위로 올리는 근육이 지나가는 길이 좁아지면서

주변의 뼈나 인대에 충돌하여 통증이 발생하고, 심한 경우 근육이 뜯어지는 현상을 말합니다.

mobile background

CAUSE AND SYMPTOMS

충돌증후군 원인과 증상

충돌증후군이란 뼈나 인대에 충돌하여 통증이 발생하고, 

심한 경우 근육이 뜯어지는 현상을 말합니다.

원인

증상

해부학적 요인
퇴행성 변화
어깨뼈 형태에 문제
견봉하 골극 형성이 된 경우
잠들기 힘든 야간통
어깨와 등에 지속적인 통증
통증과 운동 범위의 제한
통증이 있는 쪽으로 눕기 힘듦
mobile background

SEOUL PERFECT ORTHOPEDICS

서울퍼펙트정형외과 충돌증후군 치료 프로그램

정밀진단

원장님과 상담 후 X-ray, 초음파 등

정밀 장비를 이용하여 정확하게 분석한 후

해당 결과를 토대로 재상담을 진행

1:1 맞춤치료

통증 감소를 위해 검사 결과에 따라

개개인에게 알맞는 시술 또는

치료 프로그램을 맞춤형으로 진행

철저한 사후관리

몸의 변화를 살피며 치료 단계마다

원장님과 전문 물리치료사가

통증의 지속적인 감소를 위해 세심하게 관리

mobile background

젊은 나이에 퇴행성으로 회전근개파열과 같은 문제가 발생하는 경우는 드물기 때문에, 보통 운동으로 인한 구조적 피로가 원인입니다.

기능적으로 팔을 어깨 위로 드는 동작을 많이 했을 때 생기는 질환이 있는데 어깨 충돌증후군 이라고 합니다. 어깨관절은 어깨뼈/위팔뼈, 이를 들어 올리는 회전근개라는 힘줄이 있습니다. 팔을 들어 올릴 때 어깨뼈/위팔뼈 사이에서 회전근개 근육이 충돌하고 끼여서 어깨에서 소리가 나고, 염증이 유발되고 그로 인해 통증이 발생하는 질환입니다.

통증이 심하지 않더라도 치료를 받으셔야 합니다. 

충돌 증후군의 가장 중요한 지료는 바른 자세와 습관입니다. 회전근개가 반복적으로 충돌하고 장기간 손상이 지속되면 중년 나이에(50~60대) 회전근개 파열로 진행할 수 있으므로 바른 자세를 통해 충돌하지 않도록 관리하여야 합니다. 

체외 충격파 도수치료를 통하여 과 긴장된 목 주변 근육과 어깨 근육을 치료하여 견봉하 공간을 넓게 하려는 노력 또한 필요합니다. 통증 관리가 잘되지 않으면 어깨 관절운동 범위가 줄어들어 오십견(=유착성 관절낭염)이 생길 수 있으므로 적극적인 치료를 요합니다.

충돌은 어깨 앞쪽 바깥쪽에서 주로 발생합니다. 그러므로 위팔뼈(상완골)를 어깨뼈(견봉)의 뒤쪽으로 당겨주려는 노력을 하여 충돌하지 않는 자세를 가지려고 노력합니다. 

1. 어깨가 말리는 자세에서는 어깨뼈(견봉)/위팔뼈(상완골) 사이 공간이 좁아져서 쉽게 충돌이 됩니다. 가슴을 펴고 날개뼈를 모으며 생활합니다. 

2. 팔꿈치가 어깨보다 올라가는 반복적인 움직임(팔 돌리기, 접영, 오버헤드 운동, 턱걸이)은 피하는 것이 좋습니다. 

3. 반복적으로 팔을 올리는 동작을 해야 하는 경우에는 가슴을 펴고 턱을 들고 손바닥이 하늘을 바라보는 자세를 통해 충돌 부위를 뒤쪽으로 보내려는 자세를 취합니다. 

서울퍼펙트정형외과

충돌증후군 치료법

관절강내 주사

어깨 관절 내에 초음파를 통한

정확한 주사로 염증/통증 치료


바로가기   +

도수치료

풍부한 임상경험을 가진 숙련된

도수전문치료사의 1:1 맞춤치료


바로가기   +

체외충격파

충격파 에너지를 이용하여

만성통증, 손상관절 등의 회복과 재생


바로가기   +

SHOULDER IMPINGEMENT PREVENTIVES

충돌증후군 예방, 관리법

규칙적인 어깨 스트레칭

어깨 사용을 많이 하게 될 경우 전과 후에 10분 이상의 스트레칭을 진행해 주는 것이 부상의 위험을 낮출 수 있습니다. 어깨에 힘을 빼고 벽이나 반대편 손을 이용하여 최대 각도를 만들어 줍니다.

바른 자세 유지

일상생활을 하면서 바른 자세로 생활하는 것이 가장 중요하고 효과적인 방법입니다. 목과 등의 자세를 바르게 하여 날개뼈가 몸의 앞쪽으로 말리지 않도록 노력합니다.

수면 자세

침대에 누워 잠을 잘 때 옆쪽으로 누워서 자는 자세가 아니라 천장을 바라보면서 눕는 자세가 좋습니다.

어깨 근육의 균일한 사용

가방을 멜 때는 한쪽으로만 메면 어깨 근육의 불균형을 유발할 수 있습니다. 양쪽 어깨를 사용해서 메는 것이 좋습니다.


mobile background

서울퍼펙트정형외과

충돌증후군 치료법

관절강내 주사


어깨 관절 내에 초음파를 통한

정확한 주사로 염증/통증 치료


바로가기    +

도수치료


풍부한 임상경험을 가진

숙련된 도수전문치료사의 1:1 맞춤치료


바로가기    +

체외충격파


충격파 에너지를 이용하여

만성통증, 손상관절 등의 회복과 재생


바로가기    +

SHOULDER IMPINGEMENT PREVENTIVES

충돌증후군 예방, 관리법

규칙적인 어깨 스트레칭

어깨 사용을 많이 하게 될 경우 전과 후에 10분 이상의 스트레칭을

진행해 주는 것이 부상의 위험을 낮출 수 있습니다.

어깨에 힘을 빼고 벽이나 반대편 손을 이용하여 최대 각도를 만들어 줍니다.

수면 자세

침대에 누워 잠을 잘 때 옆쪽으로 누워서 자는 자세가 아니라

천장을 바라보면서 눕는 자세가 좋습니다.

바른 자세 유지

일상생활을 하면서 바른 자세로 생활하는 것이 가장 중요하고

효과적인 방법입니다. 특히 목과 등의 자세를 바르게 하여

날개뼈가 몸의 앞쪽으로 말리지 않도록 노력합니다.

어깨 근육의 균일한 사용

가방을 멜 때는 한쪽으로만 메면 어깨 근육의 불균형을 유발할 수 있습니다.

양쪽 어깨를 사용해서 메는 것이 좋습니다.